Cirugía de terceros molares (muelas del juicio)

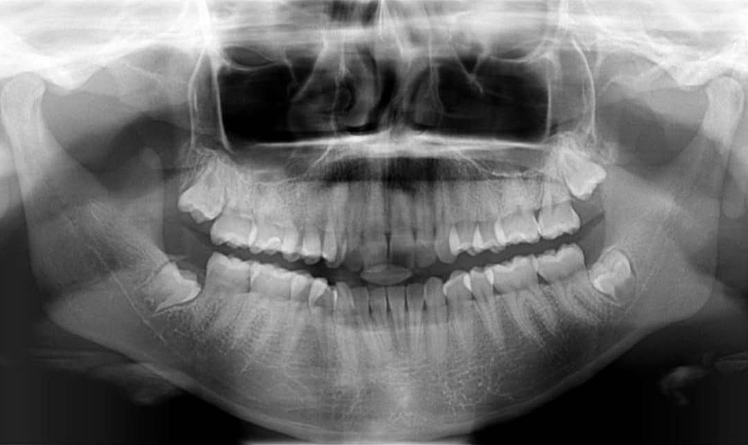
A continuación, se presentan 2 casos clínicos, con la intención de mostrar nuestro protocolo rápido y seguro, de extracción de los 4 terceros molares en un solo tiempo quirúrgico, con el fin de evitar varios procesos de recuperación y gastos adicionales en tratamientos farmacológicos. Este procedimiento se realiza bajo anestesia local y la duración completa del procedimiento tiene un promedio de 45min.


Caso 1

Caso 1

Caso 1

Caso 1

Caso 2

Caso 2

Caso 2

Caso 2

Caso 2